Bệnh viện Bãi Cháy điều trị thành công bệnh nhi nhiễm khuẩn huyết, viêm cầu thận biến chứng co giật nguy kịch
Các bác sĩ Khoa Nhi, Bệnh viện Bãi Cháy vừa điều trị thành công bệnh nhi nguy kịch do nhiễm khuẩn huyết, viêm cầu thận có biến chứng nặng nề.
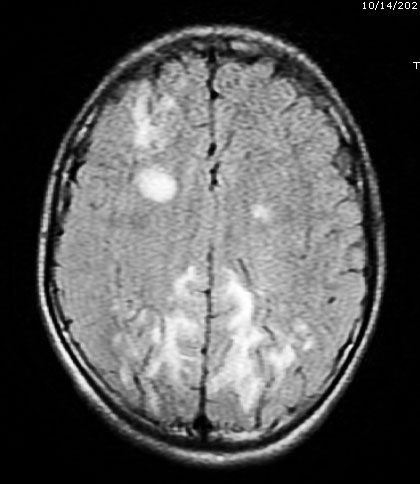
Bệnh nhi Bàn T N (sinh năm 2008, trú tại TP Hạ Long, Quảng Ninh) cấp cứu tại Bệnh viện Bãi Cháy trong tình trạng suy hô hấp, sốt cao, phù toàn thân, tăng huyết áp. Một tuần trước nhập viện trẻ xuất hiện mụn nước cẳng chân, vùng đầu, kèm to nặng hai chân, sau đó trẻ sốt, ho húng hắng, đau đầu, co giật toàn thân bốn cơn, li bì. Ngay khi tiếp nhận bệnh nhi, các bác sĩ đã thăm khám lâm sàng và chỉ định các xét nghiệm cận lâm sàng. Kết quả xét nghiệm máu cho thấy các chỉ số nhiễm khuẩn tăng cao, hình ảnh chụp CT phổi có tổn thương đông đặc lan tỏa hai bên, hình ảnh chụp MRI sọ não có tổn thương viêm, siêu âm có tràn dịch đa màng.

Hình ảnh chụp MRI sọ não có tổn thương viêm

Bác sĩ CKI.Trần Văn San thăm khám cho bệnh nhi
Các bác sĩ đã hội chẩn Bác sĩ CKII. Đinh Thị Lan Oanh – Phó Giám đốc Bệnh viện thống nhất chẩn đoán suy hô hấp, nhiễm khuẩn huyết, viêm não, viêm cầu thận thể tăng huyết áp, tiên lượng tử vong cao. Trẻ được điều trị ngay thở oxy, kháng sinh, chống phù não, lợi tiểu, kiểm soát huyết áp. Sau một tuần điều trị tích cực trẻ tỉnh táo, các chỉ số sinh tồn ổn định, vận động tri giác tốt.
“Viêm cầu thận cấp là một bệnh lý gây tổn thương thận cấp tính. Trên đối tượng trẻ em, nguyên nhân thường gặp là sau nhiễm liên cầu khuẩn. Bệnh khởi phát đột ngột với phù toàn thân, tiểu ít, tiểu máu, tiểu đục, tăng huyết áp và có thể nguy hiểm đến tính mạng do suy thận cấp, suy tim cấp, phù não... đặc biệt là biến chứng co giật có nguy cơ tử vong nếu không được cứu chữa kịp thời. Mặt khác, nếu không được điều trị đúng cách, tổn thương thận kéo dài làm suy thận mạn về sau”. – Bác sĩ CKI.Trần Văn San – Khoa Nhi, Bệnh viện Bãi Cháy cho biết.

Bệnh nhi phục hồi sức khỏe tốt
Khi dịch bệnh Covid-19 vẫn còn diễn biến phức tạp và kéo dài, nhiều phụ huynh có tâm lý ngại đưa trẻ đến bệnh viện thăm khám, chủ quan với các dấu hiệu bệnh lý, tự mua thuốc cho trẻ uống tại nhà. Điều này dẫn đến nhiều bệnh nhi đến viện trong tình trạng bệnh diễn biến rất nặng làm cho việc điều trị trở nên khó khăn, mất “thời gian vàng” nên có thể để lại di chứng nặng nề hoặc tử vong. Do vậy, ngay khi trẻ xuất hiện các dấu hiệu của bất thường như sốt cao hoặc nhiệt độ hạ, phù, tiểu buốt, tiểu máu, tiểu nhiều lần… cần đưa trẻ đến các cơ sở y tế chuyên khoa để điều trị kịp thời, tránh biến chứng không hồi phục.
Với kinh nghiệm và năng lực xử trí cấp cứu bệnh lý nhi khoa vững vàng, sự tận tâm hết lòng vì người bệnh, đội ngũ bác sĩ Khoa Nhi – Bệnh viện Bãi Cháy đã cứu sống thêm một bệnh nhi thoát ngưỡng cửa tử, đem lại niềm tin, hi vọng vào chất lượng dịch vụ y tế tỉnh Quảng Ninh.
Mạc Thảo – Trần San
