Cứu sống bệnh nhân nhồi máu cơ tim cấp với dị dạng động mạch vành hiếm gặp
Các bác sĩ tại Bệnh viện Bãi Cháy vừa kịp thời cứu sống một bệnh nhân nhồi máu cơ tim cấp trong tình trạng đặc biệt hiếm gặp: động mạch vành phải xuất phát bất thường từ bên trái, đồng thời xuất hiện biến chứng No-Reflow (không có dòng tái thông sau đặt stent) trong quá trình can thiệp mạch vành.

Bệnh nhân Phương V.T được cứu sống nhờ can thiệp mạch kịp thời.
Bệnh nhân Phương V.T (66 tuổi, trú tại phường Bãi Cháy, tỉnh Quảng Ninh) trước đó bị ngã đập thành ngực xuống đất. Khi đi khám, bệnh nhân được phát hiện rạn xương sườn và được dùng thuốc giảm đau. Tuy nhiên, tình trạng đau ngực không thuyên giảm. Sau 3 ngày, cơn đau ngực trái ngày càng tăng, bệnh nhân được đưa vào viện trong tình trạng đau ngực dữ dội. Kết quả xét nghiệm cho thấy men tim tăng cao gấp hơn 100 lần so với bình thường – dấu hiệu điển hình của nhồi máu cơ tim cấp.
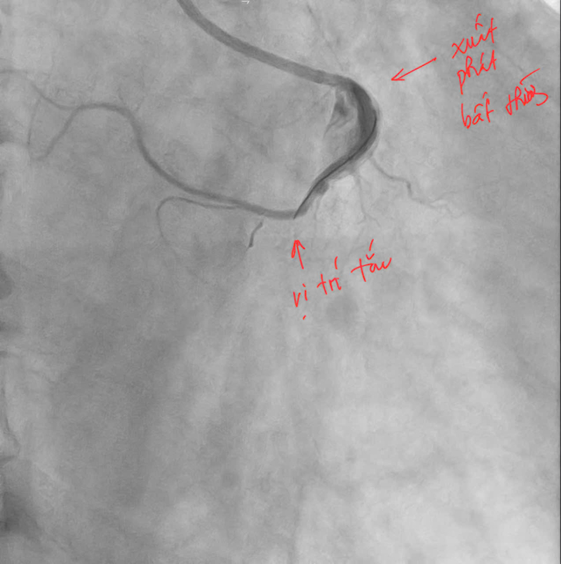
Ngay lập tức, bệnh nhân được kích hoạt quy trình cấp cứu tim mạch và chuyển tới phòng can thiệp mạch vành khẩn cấp. Kết quả chụp mạch vành cho thấy bệnh nhân bị tắc hoàn toàn động mạch vành phải đoạn 2 (RCA 2). Đáng chú ý, động mạch vành phải của bệnh nhân có vị trí xuất phát bất thường từ xoang vành trái của động mạch chủ – một dạng dị dạng hiếm gặp khiến việc tiếp cận và can thiệp trở nên phức tạp hơn nhiều so với các trường hợp thông thường.
Ê-kíp can thiệp do ThS.BS Đinh Danh Trình – Trưởng khoa Tim mạch, Bệnh viện Bãi Cháy cùng các bác sĩ đã thực hiện nhiều thao tác kỹ thuật phức tạp để lái ống thông, đưa dây dẫn và bóng qua vị trí tổn thương. Sau khi tiếp cận được vị trí tắc nghẽn, các bác sĩ tiến hành đặt stent phủ thuốc nhằm tái thông dòng máu nuôi cơ tim.
Tuy nhiên, ngay sau khi đặt stent, bệnh nhân xuất hiện tình trạng No-Reflow – tức là lòng mạch đã được mở nhưng dòng máu vẫn không lưu thông hiệu quả do co thắt vi mạch hoặc tổn thương vi tuần hoàn. Đây là một biến chứng nguy hiểm trong can thiệp mạch vành, có thể khiến cơ tim tiếp tục bị thiếu máu và làm tăng nguy cơ tử vong nếu không xử trí kịp thời.

Ê-kíp
can thiệp do ThS.BS Đinh Danh Trình – Trưởng khoa Tim mạch, Bệnh viện Bãi Cháy cùng các bác sĩ đang tiến hành can thiệp cho bệnh nhân.
Ê-kíp can thiệp đã nhanh chóng triển khai nhiều biện pháp xử trí, trong đó có tiêm trực tiếp thuốc giãn mạch vào lòng động mạch vành như Adenosine nhằm giảm co thắt và cải thiện vi tuần hoàn. Sau khi xử trí tích cực, dòng chảy mạch vành đã được khôi phục với mức dòng chảy TIMI 2, giúp ổn định tình trạng cho người bệnh.

Hình ảnh: Trước can thiệp

Hình ảnh: Sau can thiệp
Sau can thiệp, bệnh nhân được chuyển về khoa Tim mạch để tiếp tục theo dõi và điều trị. Đến sáng hôm sau, tình trạng sức khỏe bệnh nhân ổn định, tỉnh táo, giảm đau ngực, các chỉ số sinh tồn ổn định: mạch 69 lần/phút, huyết áp 120/80 mmHg, SpO₂ 99%, lượng nước tiểu đạt 3 lít trong 13 giờ.

Ths.BS Đih Danh trình khám lại cho bệnh nhân sau can thiệp.
ThS.BS Đinh Danh Trình cho biết: “Đây là trường hợp nhồi máu cơ tim cấp có nhiều yếu tố phức tạp. Bệnh nhân vừa có dị dạng động mạch vành hiếm gặp, vừa xuất hiện biến chứng No-Reflow sau đặt stent. Dị dạng động mạch vành khiến việc tiếp cận tổn thương khó khăn hơn so với các ca can thiệp thông thường, đòi hỏi bác sĩ phải lựa chọn loại ống thông phù hợp và thao tác rất chính xác. Nếu không xử trí kịp thời biến chứng No-Reflow, bệnh nhân có thể tiếp tục thiếu máu cơ tim, dẫn đến suy tim, rối loạn nhịp nguy hiểm hoặc tử vong.”
Theo bác sĩ Trình, dị dạng động mạch vành dạng này chỉ gặp với tỷ lệ khoảng 1/1.000 đến 1/10.000 người. Chính sự bất thường về giải phẫu này khiến quá trình can thiệp mạch vành trở nên khó khăn và đòi hỏi kinh nghiệm xử trí của ê-kíp can thiệp.
Chia sẻ sau khi vượt qua cơn nguy kịch, bệnh nhân xúc động cho biết: “Lúc đầu tôi nghĩ mình chỉ bị ngã nên đau ngực do chấn thương. Sau khi về nhà vẫn thấy khó chịu nên quay lại bệnh viện kiểm tra. Lúc đó tôi nghĩ có thể mình không qua khỏi. Nhờ sự tận tình của các bác sĩ và cả ê-kíp cấp cứu mà tôi được cứu sống. Tôi rất biết ơn các bác sĩ đã giúp tôi vượt qua thời điểm nguy hiểm này.”
Các bác sĩ khuyến cáo, các triệu chứng như đau thắt ngực kéo dài, khó thở, vã mồ hôi lạnh, mệt lả… có thể là dấu hiệu cảnh báo Nhồi máu cơ tim cấp. Khi xuất hiện các biểu hiện nghi ngờ, người dân cần đến cơ sở y tế sớm nhất để được thăm khám và điều trị kịp thời, tránh những biến chứng nguy hiểm có thể xảy ra.
Minh Khương
