Nút mạch tử cung điều trị băng huyết do Khối thông động tĩnh mạch
Áp dụng
kĩ thuật nút mạch tiên tiến, một bệnh nhân bị băng huyết do Khối thông động
tĩnh mạch trong tình trạng nguy kịch đã được bác sĩ Bệnh viện Bãi Cháy cấp cứu
thành công mà không cần phải trải qua phẫu thuật nặng nề, nguy hiểm.
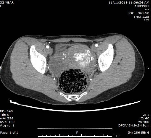
Trường hợp bệnh nhân Bàn Thị Huyền (32 tuổi, trú tại Bắc Giang) có tiền sử nạo hút thai cách đây 5 tháng, nhập viện ngày 09/11/2019 vào khoa phụ sản Bệnh viện Bãi cháy trong tình trạng ra máu âm đạo nhiều, đau bụng hạ vị. Kết quả thăm khám lâm sàng và làm các xét nghiệm cận lâm sàng (siêu âm, chụp CT scanner…) cho thấy trong buồng và cơ tử cung lệch trái có khối thông động tĩnh mạch kích thước khoảng 41x55mm.

Hình ảnh chụp CT khối thông động tĩnh mạch tử cung
Nhận định
tình trạng băng huyết do khối thông động tĩnh mạch tử cung ngày càng nghiêm trọng,
các biện pháp điều trị nội khoa không có hiệu quả, nguy cơ đe dọa tính mạng,
các bác sĩ khoa phụ sản đã tiến hành hội
chẩn với bác sỹ chuyên khoa can thiệp mạchvà quyết định thực hiện nút mạch
tử cung nhằm cầm máu tức thời và bảo tồn toàn bộ tử cung cho người bệnh.
Dưới hướng dẫn của hệ thống chụp mạch số hóa xóa nền DSA, kíp can thiệp đã định vị và đánh giá chính xác khu vực tổn thương, bơm hóa chất làm tắc mạch cấp máu nuôi dưỡng khối thông động tĩnh mạch tử cung. Ca can thiệp có sự phối hợp giữa bác sĩ điện quang can thiệp và bác sĩ sản khoa diễn ra thành công thuận lợi trong thời gian ngắn, bệnh nhân không bị đau đớn và tỉnh táo,sau gần 1h can thiệp bệnh nhân đã hết tình trạng xuất huyết âm đạo.
“Trường
hợp bệnh nhân có khối thông động tĩnh mạch ở buồng tử cung gây băng huyết là
trường hợp hiếm gặp trong sản khoa. Nếu không được chẩn đoán chính xác và cầm
máu kịp thời bệnh nhân có thể tử vong do sốc mất máu. Việc nạo hút sẽ gây nguy
cơ vỡ cao và chảy máu ồ ạt nên cắt bỏ tử cung là phương pháp ngoại khoa được áp
dụng phổ biến. Bệnh nhân sẽ phải trải qua đại phẫu nặng nề với nhiều nguy cơ biến
chứng như chảy máu, nhiễm trùng vết mổ, thời gian hồi phục kéo dài và ảnh hưởng
đến chức năng sinh sản sau này…
Tuy nhiên phương pháp nút mạch tử cung là can thiệp ít xâm lấn, có độ an toàn, hiệu quả cao hơn, không gây mất máu và ít đau đớn, giúp bảo tồn toàn bộ tử cung, cầm máu kịp thời giúp bệnh nhân tránh được nguy cơ tử vong do băng huyết. Do đó, đây là giải pháp tối ưu đặc biệt phù hợp với những phụ nữ mong muốn có con.” Bác sĩ Tô Thị Kim Quy – Trưởng Khoa Sản, Bệnh viện Bãi Cháy cho biết.

Hình ảnh khối thông động tĩnh mạch tử cung trước và sau nút mạch trên hệ thống chụp mạch số hóa xóa nền DSA
Không
chỉ thành công với ca nút mạch tử cung điều trị băng huyết do khối thông động
tĩnh mạch. Theo bác sĩ Lê Tiến Hưng – Phó Trưởng Khoa Chẩn đoán hình ảnh,
phương pháp can thiệp nội mạch đã được Bệnh viện Bãi Cháy ứng dụng điều trị
thành công hàng trăm bệnh lý phức tạp như u xơ tử cung, u gan, chấn thương nội tạng,
ho ra máu…mỗi năm. Nhờ đó nâng cao hiệu quả, chất lượng dịch vụ khám chữa bệnh,
rút ngắn thời gian nằm viện, giúp người dân tiết kiệm chi phí và hạn chế tình
trạng chuyển tuyến lên bệnh viện Trung ương.
Mạc Thảo – Đình Hải
