Thời tiết lạnh sâu, nguy cơ nhồi máu cơ tim cấp
Nhồi máu cơ tim là bệnh lý nguy hiểm có nguy cơ tử vong cao do tắc nghẽn đột ngột mạch máu nuôi tim. Đặc biệt khi thời tiết chuyển rét đậm rét hại số làm gia tăng lượng bệnh nhân nhập viện do nhồi máu cơ tim. Vừa qua, các bác sĩ Khoa Tim mạch, Bệnh viện Bãi Cháy đã can thiệp mạch vành cho bệnh nhân Trương T V (81 tuổi, trú tại TX Đông Triều, Quảng Ninh) bị nhồi máu cơ tim cấp nguy kịch.
Trước đó, bệnh nhân có biểu hiện đau nhói từng cơn vùng ngực trái, cơn đau xuất hiện cả khi nghỉ ngơi. Bệnh nhân được gia đình chuyển đến cấp cứu tại Bệnh viện Bãi Cháy. Sau khi thăm khám, các bác sĩ chẩn đoán nhồi máu cơ tim cấp ngày thứ 3, chưa loại trừ viêm cơ tim.
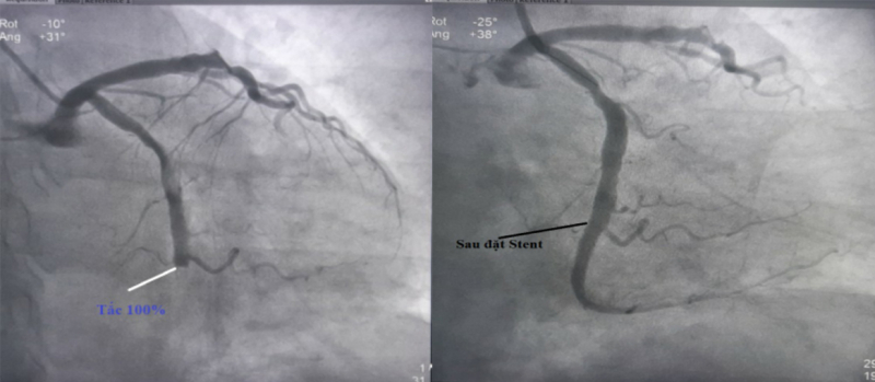
Ngay lập tức, bệnh nhân được đưa lên phòng can thiệp mạch DSA. Hình ảnh chụp mành vành xác định bệnh nhân bị tắc hoàn toàn đầu đoạn 2 động mạch mũ, hẹp 60% động mạch liên thất trước, xơ vữa động mạch vành phải. Ekip can thiệp của Thạc sĩ, bác sĩ Trần Văn Quý, Đinh Danh Trình – Khoa Tim mạch, Bệnh viện Bãi Cháy đã tái thông và đặt stent phủ thuốc vào đoạn mạch bị tắc. Ngay sau can thiệp, bệnh nhân đỡ đau ngực, thoát nguy kịch, chỉ số sinh tồn ổn định.

Đoạn động mạch bị tắc trước can thiệp (bên trái ) và được tái thông sau can thiệp (bên phải)
Bệnh nhồi máu cơ tim cấp thường gặp ở những bệnh nhân ở trong tuổi trung niên, cao tuổi có các bệnh lý kết hợp như: tăng huyết áp, tiểu đường, rối loạn mỡ máu, ít hoạt động thể dục thể lực… Nếu không được cấp cứu can thiệp kịp thời sẽ gây biến chứng nguy hiểm như rối loạn nhịp tim, suy tim cấp, tai biến do tắc mạch, vỡ tim, đột tử… dẫn đến tử vong. Can thiệp động mạch vành là một kỹ thuật cao được Bệnh viện Bãi Cháy triển khai từ năm 2015 giúp cứu sống thành công hàng trăm ca bệnh nhồi máu cơ tim cấp cho nhân dân, du khách trong và ngoài tỉnh.


Can thiệp mạch vành điều trị nhồi máu cơ tim tại Bệnh viện Bãi Cháy
Theo Thạc sĩ - Bác sĩ Trần Văn Quý – Phó Trưởng Khoa Tim mạch, Bệnh viện Bãi Cháy, vào mùa lạnh, huyết áp thường tăng cao so với mùa hè khoảng 5 mmHg, sự duy trì liên tục mức tăng huyết áp này sẽ làm tăng 21% các biến chứng tim mạch, đột quỵ. Nhiệt độ giảm sâu cũng khiến các mạch máu co lại dễ dẫn đến tai biến. Vì vậy, khi thời tiết chuyển lạnh cần giữ ấm đẩy đủ cho cơ thể, hạn chế ra ngoài khi nhiệt độ quá thấp.
Để giảm nguy cơ bị nhồi máu cơ tim, người dân cần có chế độ ăn uống hợp lý, tránh ăn mỡ và nội tạng động vật, ăn đủ rau quả, từ bỏ thói quen hút thuốc lá, không lạm dụng rượu bia, tập thể dục đều đặn, giữ cân nặng hợp lý, tránh căng thẳng tâm lý, điều trị tốt các bệnh lý nếu có như tăng huyết áp, đái tháo đường, rối loạn mỡ máu…
Ngoài ra, người dân cần chú trọng khám sức khỏe định kỳ đều đặn cũng như khám chuyên khoa tim mạch khi có các triệu chứng bất thường để phát hiện và điều trị sớm bệnh lý động mạch vành, giúp phòng ngừa nhồi máu cơ tim và các biến chứng của nó.
Người bệnh có bệnh lý tim mạch cần tuân thủ phác đồ điều trị. Khi có các dấu hiệu như chóng mặt đột ngột, khó thở, đau nhói khó chịu vùng xương ức, đổ mồ hôi lạnh, nhịp tim bất thường cần đến ngay cơ sở y tế có chuyên khoa tim mạch để được chẩn đoán và điều trị kịp thời.
